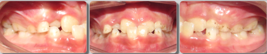
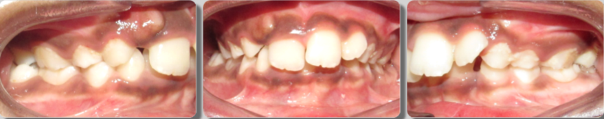
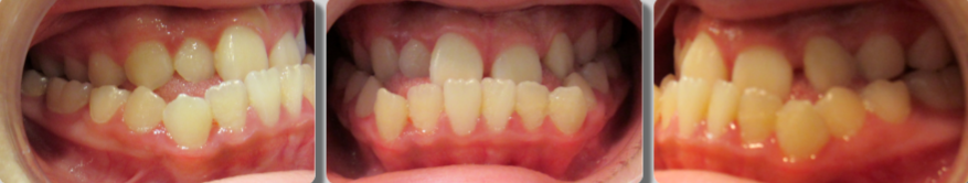
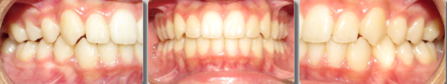
Phase I:
Diagnosis: Anterior crossbite with dental crowding.
Treatment Plan: Rapid Palatal Expander, Facemask and Upper Partial Braces
Before

After
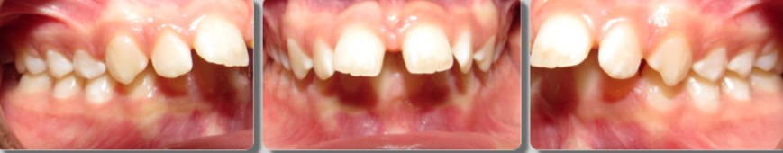
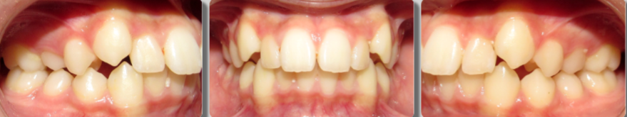
Phase I:
Diagnosis: Class I malocclusion with upper and lower dental crowding. The lower left lateral incisor (LL2) fully erupted in a lingual position. The upper right lateral incisor (UR2) lacks adequate space for proper alignment. Upper right first molar (UR6) in crossbite.
Treatment: Invisalign Palatal Expander and Invisalign First
Before

After
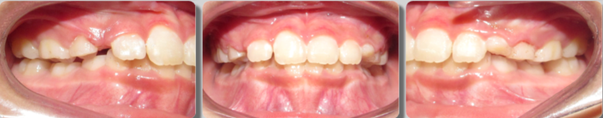
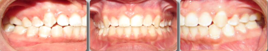
Phase II:
Diagnosis: Class II malocclusion with increased overjet and presence of a diastema.
Treatment: Braces upper and lower for 24 months.
Before

After
Phase II:
Diagnosis: Class II malocclusion with a constricted maxillary arch and crowding
Treatment: Invisalign
Before

After
Surgical Case:
Diagnosis: Class III malocclusion with anterior crossbite. Upper left canine (UL3) fully impacted.
Treatment Plan: Braces with upper premolar extraction and Orthognathic Surgery done with an Oral Surgeon
Before

After
Surgical Case:
Diagnosis: Class III malocclusion with upper and lower anterior dental crowding.
Treatment Plan: Braces with Orthognathic Surgery done with an Oral Surgeon
Before

After
